Sari la conținut
Logo LiberTV Moldova
  • Acasă
  • Politică
  • Economie
  • Social
  • Externe
  • Sănătate
  • Sport

Reporter Corina Bezer

Incendiu

25 mai 2016

Incendiu IMENS în centrul capitalei. Parcul de autospeciale al Municipiului, cuprins de flăcări

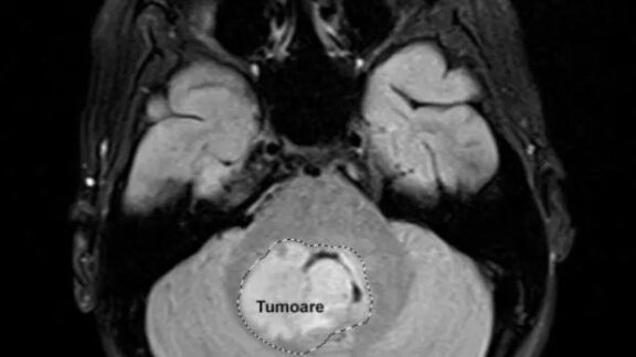
Tumoare la creier

25 mai 2016

Fetiţă diagnosticată cu tumoare pe creier salvată de la moarte

Dorin Chirtoacă și Anișoara Loghin nași

25 mai 2016

(FOTO) Dorin Chirtoacă și Anișoara Loghin în rol de NAȘI

CNA

25 mai 2016

Percheziții la primăria Chișinău: zece dosare penale

Khadija Ismailova

25 mai 2016

Azerbaidjan: Jurnalista de investigații Khadija Ismailova a fost eliberată din închisoare

Nadia Savcenko

25 mai 2016

Schimb de prizonieri între Ucraina şi Rusia. Nadia Savcenko a fost ELIBERATĂ

Accident

25 mai 2016

A tamponat violent şase automobile, după ce ar fi consumat băuturi alcoolice

Cod galben de ploi

25 mai 2016

Mai multe localități, fără curent din cauza grindinei. Pentru astăzi a fost emis COD GALBEN

Dacian Cioloș

25 mai 2016

Dacian Cioloş i-a transmis lui Joe Biden că doreşte sprijinul SUA pentru o prezenţă NATO pe tot flancul estic

Cristiano Ronaldo

24 mai 2016

Schimbare de situaţie în finala UEFA Champions League

  • <
  • …

  • 313
  • 314
  • 315

  • 316
  • 317
  • …

  • >

Urmărește-ne

Din Alte Surse

  • Investiții în valori mobiliare de stat: Ministerul Finanțelor lansează o nouă perioadă de subscriere
    Radio Chișinău acum 11 minuteVezi Detalii
  • Berlinschii, către membrii Comisiei de la Veneția: Opoziția nu boicotează reforma justiției
    Timpul acum 14 minuteVezi Detalii
  • Jurnaliștii din Republica Moldova devin tot mai des ținta hărțuirii și amenințărilor online. Viorel Cernăuțeanu: „Noi nu reușim să pregătim tot efectivul pentru combaterea acestor tipuri de infracțiuni”
    Radio Chișinău acum 28 de minuteVezi Detalii
  • Dorin Junghietu efectuează o vizită la Bruxelles: securitatea energetică și cooperarea cu UE, pe agenda discuțiilor
    Radio Chișinău acum 50 de minuteVezi Detalii
  • „Asta nu e opinie. E hărțuire. Stop violență digitală!” | Acțiune de solidarizare dedicată securității digitale a jurnaliștilor, organizată de CJI în cadrul Zilelor Libertății Presei (FOTO)
    Radio Chișinău acum o orăVezi Detalii
  • Rusia amenință Moldova la OSCE: Chișinăul nu a învățat lecțiile conflictului din 1992
    Timpul acum o orăVezi Detalii
  • Carburanții continuă să se scumpească
    Timpul acum o orăVezi Detalii
  • Un bloc ilegal cu patru etaje, construit printre case la Stăuceni: Vecinii, nemulțumiți
    Timpul acum o orăVezi Detalii
  • Vremea se încălzește: temperaturi de până la +27 de grade în următoarele zile
    Radio Chișinău acum o orăVezi Detalii
  • O educatoare a fost înșelată cu aproape 298.000 de lei de mama unui copil
    Timpul acum o orăVezi Detalii
  • Forța Fermierilor cere majorarea plafonului de rambursare a TVA la 500.000 de lei
    Timpul acum 2 oreVezi Detalii
  • Chișinăul marchează 9 Mai: Flori la Eternitate și evenimente în PMAN
    Timpul acum 2 oreVezi Detalii
  • „Dronele ucrainene ar putea participa la parada lui Putin”, amenință Volodimir Zelenski
    Radio Chișinău acum 2 oreVezi Detalii
  • Eveniment de nivel înalt dedicat Coridorului Vertical de Gaze, organizat de Nicușor Dan la Erevan. A fost prezent și Nicu Popescu, emisarul special al președintei Maia Sandu pentru afaceri europene (FOTO)
    Radio Chișinău acum 2 oreVezi Detalii
  • Emmanuel Macron reafirmă sprijinul pentru suveranitatea Republicii Moldova la Summitul CPE de la Erevan
    Radio Chișinău acum 2 oreVezi Detalii
  • Termeni și condiții
  • Despre noi